The Current State of Brazilian Butt Lifts
Florida has become the world capital for BBLs. As mortality rates from the procedure raise concern, the Florida Board of Medicine aims to find ways to ensure safety.
The American Society of Plastic Surgeons (ASPS) reported that more than 20,000 people had the Brazilian Butt Lift (BBL) procedure by board-certified surgeons in 2017, rising steadily from 8,500 in 2012.1 In the 2018 report, buttock augmentation was the fastest-growing surgical procedure, up 61% in five years.2 However, while volumes increased in 2019 to 28,076 cases, they leveled out at 21,823 in 2020.3 The American Society of Aesthetic Plastic Surgeons (ASAPS) reported a much higher number of 44,725 buttock augmentations in 2020 and a 37% increase in 2021 to 61,387.4 These statistics only include procedures performed by board certified plastic surgeons that are members of ASPS or ASAPS. Although the exact number is unknown, BBLs performed by other specialists may double the annual totals.
South Florida has become the American capital of the Brazilian butt lift (BBL) surgery as women fly in worldwide seeking inexpensive packages to undergo the popular procedure. Some estimate that doctors in Miami-Dade County are responsible for 15,000 to 18,000 BBLs each year.5 Some believe this is because this procedure is still trendy, and there was much pent-up demand after the pandemic. Due to the demand, the promise of quick money has drawn plenty of doctors to the state. An ample supply of doctors, often without specialized training, has given rise to a dozen high-volume, low-price clinics more accessible than other popular medical tourism destinations, like the Dominican Republic and Colombia. These clinics have created a depressed market. Around the nation, the cost of liposuction and fat transfer to the buttock ranges between $8,000–$20,000. Some Florida clinics advertise BBLs as low as $2,900. Because the doctors work on commission, usually taking home 20-30%, there is much pressure to compensate in volume for the low-profit margin.
A Concerning Trend
From 2011 to 2016, there were 25 deaths from BBLs performed by American Society for Aesthetic Plastic Surgery members. In a 2017 report by Mofid et al, the Aesthetic Surgery Education and Research Foundation (ASERF) formed a task force and reported an estimated annual BBL mortality rate of one in 3448 cases.6 This highly criticized report became the central rationale for discussing a ban on BBLs.
In response, the ASERF created the Gluteal Fat Grafting Task Force. In 2018, they released a set of guidelines that emphasized subcutaneous only injections and recommendations that focused on cannula awareness: using a stiff cannula >4mm, avoiding a Luer-Lock interface to prevent inadvertent cannula misguidance, preferring intergluteal incisions, and continuous tactile awareness of the cannula tip.7
In 2020 a follow-up ASERF report reported an encouraging improvement of the mortality rate after the guidelines to one in 14,921.8 This was more in line with an article by Cansancao et al consisting of a BBL survey study of Brazilian plastic surgeons, which calculated a mortality rate of approximately one in 20,000 from BBL.9 The World Association of Gluteal Surgeons (WAGS) presented similar results in 2022 from a survey of their multispecialty members with a mortality rate in BBLs from fat embolism of one in 23,818.10
If we apply the latest mortality rates to South Florida and exaggerate the number of BBLs performed there to 20,000 yearly, there should only be one death annually, maybe two on occasion. In contrast, at least 19 women who underwent BBLs have lost their lives in the Miami-Dade area in the last 5 years.11 From 2013 to 2018, one Florida clinic had at least eight patients die.12 In 2021 alone, eight women in South Florida died from a fat embolism after a BBL,13 making them an outlier as it relates to BBL Mortality.
Despite changes and new state laws allowing the Florida Board of Medicine to discipline doctors when a patient dies or is seriously hurt, the mortality from BBLs increased. In 2019, the Florida Board of Medicine implemented a rule stating that doctors could no longer inject fat into the muscle because of all the deaths.14 However, 2021 was the deadliest year for BBL surgery in the state; eight women in South Florida died from a fat embolism after a BBL.15
Florida Board of Medicine Actions
In response to the troubling trend, the Florida Board of Medicine issued an emergency order on June 3, 2022, limiting BBL surgeries to three per day per surgeon to avoid fatigue.16 In the emergency order, the Board also mandated surgeons use ultrasound technology throughout the BBL procedure to avoid injecting fat into the muscle:
“The board continues to believe that an outright ban on gluteal fat grafting procedures is not necessary, but the fact that there has been at best a de minimis reduction in the number of deaths related to gluteal fat grafting during the 36 months following the board’s June 17th, 2019, emergency rule, leads the Board of Medicine to conclude that the status quo is unacceptable and that it continues to present an immediate danger to the health, safety and welfare of Florida’s patients,” the new emergency rule said.
“Accordingly, the Board has decided to mandate the following additional safeguards:
“1. The surgeon performing the procedure must use ultrasound guidance when placing and navigating the cannula and injecting fat into the subcutaneous space to ensure that the fat is placed above the fascia overlying the gluteal muscle. The surgeon must also maintain the ultrasound video recordings in the patient’s medical record, including the time and the date stamp of the ultrasound video recording.
“2. A surgeon must not perform more than three (3) gluteal fat grafting procedures in one calendar day.17
The Florida Medical Board emergency rule echoed the Practice Advisory on Gluteal Fat Grafting published on April 11, 2022, by The Aesthetic Society Multi-Society Gluteal Fat Grafting Task Force.18
Surgeon fatigue was a perceived factor in the death of a 33-year-old woman who underwent a gluteal fat transfer procedure at the hands of Dr. John Sampson last summer.19 The complaint states that he operated on seven patients that day. He began at 6:32 a.m. while her surgery started at 8:31 p.m. Fatigue was also supported by a tendency for most surgery deaths in South Florida to occur toward the end of the week.20
On August 4, 2022, the Board passed a motion to raise the cap on BBLs per surgeon per day to five after statements from Dr. Constantino Mendieta and Dr. Alexander Earle.21 They argued that the surgery cap could potentially penalize experienced and efficient surgeons. The Board also highlighted that the entire procedure, including liposuction and fat injection, should be performed by the surgeon of record and could not be delegated. The ASAPS Practice Advisory on Gluteal Fat Grafting has not changed.
On August 18, 2022, ASPS, PSF, The Aesthetic Society, and ASERF released “Gluteal Fat Grafting: A joint Safety Statement.”22 This safety statement acknowledged and commended the actions taken by the Florida Medical Board. They went on to adopt several positions with respect to gluteal fat grafting:
- When performed in an office-based setting, should only be performed by surgeons who have privileges to perform that surgical procedure in a state-approved or licensed ambulatory surgery center or hospital.
- We support mandates by official governing regulatory bodies to require the use of ultrasound to ensure delivery of the fat graft in a safe anatomic plane.
- Surgeons should be actively engaged with their patients before surgery and establish a doctor-patient relationship. Surgeons should manage both standard post-operative care and be available to manage all complications for their patients.
- Untrained or under-trained surgeons or non-surgeon operative assistants should not perform critical portions of a gluteal fat grafting procedure. Member surgeons of our Societies should not practice in facilities that engage in this conduct and should follow the specialty’s position statement on concurrent surgery.
While they commended the Florida Medical Board, they did not take a position in regards to the number of cases per surgeon per day. ISAPS endorsed the Safety Statement on October 26, 2022.23
Could a Ban Backfire?
Some doctors argue that the fastest solution to the problem is to ban the Brazilian butt lift procedure, just like the British Association of Aesthetic Plastic Surgery. But, given the demand, that plan would likely backfire and put women at even greater risk. So instead, many would travel abroad to obtain the surgery or seek out illegal buttock fillers.
Many have argued that new procedures go through this trend when first introduced. For example, liposuction in the 90s had complication rates of almost 1 in 4,900. Back then, liposuction was the problem because too much fat was suctioned and toxic amounts of lidocaine anesthetic were administered. As a result, hundreds, but possibly thousands, of people died. Similarly, the Florida Medical Board placed limits on outpatient liposuction volumes. Liposuction is much safer now with the benefit of time, experience, and studies. Then, tummy tucks had a severe complication rate of 1 in 2,600. Now, both procedures are in the top 10 most performed worldwide because our understanding and approach changed.24
There are many critics of the emergency rule and the Practice Advisory. Some feel as though the case limit is arbitrary. The emergency rule and Practice Advisory cited decreasing surgeon fatigue and distractions to minimize errors, but surgeons could still become fatigued by performing other procedures on the days they do Brazilian butt lifts. The rule also requires an ultrasound to help guide cannulas but does not consider the need for additional equipment, training, and video storage capacity for appropriate documentation. Most current platforms only allow saving cine loops between 1-30 seconds, while the rule mandates saving the entire video of the injection component of the procedure, which can take from 30 minutes to an hour.
Although, in theory and practice, ultrasound is very useful in determining the location of the cannula, there is no evidence that it limits risk. At best, it may be helpful; at worst, it may create a false sense of safety. It is almost impossible to continuously visualize the location of the cannula while in motion. A standardized fat injection technique has not been proposed or validated by an advisory board or guidelines.
ULTRA BBL: A Potential Solution
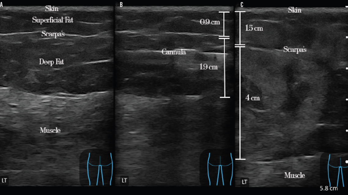
“ULTRA” BBL or Ultrasound-guided Lipofilling Targeting Recipient Areas could be a solution to the problem.25 As described by Dr. Pat Pazmiño, this method uses ultrasound to identify the superficial and deep fat layers and the muscle (Figure 1A). It leverages subcutaneous fat migration concepts targeting fat to the deep subcutaneous layer in a static fashion. Once the cannula is corroborated to be in the deep subcutaneous layer (Figure 1B), fat is infiltrated without moving the cannula. The benefits of this technique include shorter ultrasound times, smaller volumes of fat required to achieve an overall aesthetic result, accurate graft placement, and certainty that the fat has been placed in the correct plane(s) (Figure 1C). In Figure 1C, observe the expansion achieved in the deep subcutaneous layer versus the superficial subcutaneous layer, which has more septae.

Figure 1. A. Identification of layers of the buttock using ultrasound. B. Visualization of the fat grafting cannula in the deep subcutaneous space with measurements of the superficial and deep fat layers prior to fat injection. C. Measurement of the fat layers after ULTRA BBL fat transfer.
Currently, there are limited options for ultrasound-guided BBL training available to surgeons. One is through the Clarius corporation, which sells a portable ultrasound device. The WAGS has also begun offering in-person training and certification. In addition, the societies have provided webinars and talks, but unfortunately, no formal training. Organized plastic surgery has the opportunity to take an active role in hands-on training for ultrasound assisted gluteal fat grafting.
The Future for BBLs
Most surgeons believe that the real issue lies within the “surgical mill” problem and that the State of Florida should have more oversight of these clinics, which often are not physician owned. This issue was made very public in the USA Today Article dated January 30, 2019, “This business helped transform Miami into a national plastic surgery destination. Eight women died.” In Florida, 92% of the BBL deaths caused by fatty embolus occurred at these high-volume budget clinics and two thirds of these deaths are attributed to board certified plastic surgeons working at these facilities.26 Despite these numbers, very little has changed. After a clinic is associated with multiple death reports, they change the name, even multiple times. Since businessmen own the clinics, they cannot be disciplined by the Florida Medical Board. In addition, these “surgical mills” continue to expand their locations to other cities and states, potentially worsening the issue. This concern was addressed in the Joint Safety Statement by indicating that member surgeons of our Societies should not practice in facilities that allow untrained or under-trained surgeons or non-surgeons to perform critical portions of a gluteal fat grafting procedure, including both injection and lipo harvest. They went on to state that business models that endanger patients in the pursuit of profits should not be tolerated.
It is difficult for any surgeon in Florida to ignore the emergency rule. Fatty embolus, which can only occur with intramuscular injection, has been punished with at least a year suspension from performing BBLs and more severe sanctions in some cases. Although the number of BBLs performed in a day could be ultimately hidden from the public and State Medical Board, any fat thrombus event would come under severe scrutiny regarding ultrasound documentation. Finally, if fat is identified intramuscular on autopsy, it would likely affect the surgeon’s medical license. This also raises the question regarding physician liability if imaging studies show fat intramuscularly after a BBL, even in the absence of complications. Unfortunately, we have not seen any disciplinary action or rules applied toward clinics.
Furthermore, it would be difficult for any surgeon in the United States to move forward and ignore the Practice Advisory on Gluteal Fat Grafting and the Joint Safety Statement. Although many of these recommendations derive from surgeons’ opinions and lack scientific data to back them up, they are published guidelines. It is surprising to note publicly opposing views regarding ultrasound and case capping among the expert advisory panel members. Nevertheless, the importance of these recommendations elevated when Florida used them as the basis for their emergency rule. These have become the current guidelines for plaintiff attorneys in BBL suits in any State as they could establish a standard of care.
Unfortunately, there is no one-fix-all solution to lowering the mortality rate for Brazilian butt lifts. No safe surgeon appreciates government restrictions or arbitrary delineation of practice. Having a state board of medicine dictate how surgeons perform a particular surgery does not set a good precedent for the specialty. Bad actors have created a state of emergency demanding something to be done. With a lack of data and experience in this novel procedure, the Practice Advisory and Joint Safety Statement has put out what they believe are best practices moving forward.
We know that the most critical factor is that intramuscular injections must be avoided. So far, the best theoretical way to do this is under direct visualization under ultrasound or by staying away from the danger zone. Time will allow for studies to be completed comparing the safety of different techniques and technologies. The issue eventually comes down to physician training, ethics, and patient safety.
1. American Society of Plastic Surgeons. ASPS National Clearinghouse of Plastic Surgery Procedural Statistics. 2017 Plastic Surgery Statistics Report.
2. American Society of Plastic Surgeons. ASPS National Clearinghouse of Plastic Surgery Procedural Statistics. 2018 Plastic Surgery Statistics Report.
3. American Society of Plastic Surgeons. ASPS National Clearinghouse of Plastic Surgery Procedural Statistics. 2020 Plastic Surgery Statistics Report.
4. The Aesthetic Society. Aesthetic Plastic Surgery National Databank Statistics, 2020-2021.
5. Tunell, A. Florida’s Mortality Rate for Brazilian Butt Lifts Is Alarmingly High—but Can New Legislation Change That? Realself. July 30, 2019. https://www.realself.com/news/florida-legislation-brazilian-butt-lifts
6. Mofid MM, Teitelbaum S, Suissa D, et al. Report on mortality from gluteal fat grafting: Recommendations from the ASERF task force. Aesthetic Surgery Journal. 2017;37(7):796-806. doi:10.1093/asj/sjx004
7. Urgent Warning to Surgeons Performing Fat Grafting to the Buttocks. https://www.plasticsurgery.org/for-medical-professionals/publications/psn-extra/news/urgent-warning-to-surgeons-performing-fat-grafting-to-the-buttocks
8. Rios L, Gupta V. Improvement in Brazilian Butt Lift (BBL) safety with the current recommendations from ASERF, ASAPS, and ISAPS. Aesthetic Surgery Journal. 2020;40(8):864-870. doi:10.1093/asj/sjaa098
9. Cansancao AL, Condé-Green A, Vidigal RA, Rodriguez RL, D’Amico RA. Real-Time UltrasoundAssisted Gluteal Fat Grafting. Plastic and Reconstructive Surgery. 2018;142(2):372-376. doi:10.1097/PRS.0000000000004602
10. Agullo FJ. BBL Complications: A Multispecialty Experience. World Association of Gluteal Surgeons Annual Meeting, Miami, FL, May 26, 2022.
11. Bido, T. Florida Sets Limit For Plastic Surgeons Who Perform BBLs to Three Surgeries a Day. NewBeauty. Jun 8, 2022. https://www.newbeauty.com/florida-limits-brazilian-butt-lift-surgery/
12. Sallah, M and Perez, M. This Business Helped Transform Miami Into a National Plastic Surgery Destination. Eight Women Died. USA Today, Jan 30, 2019. https://www.naplesnews.com/in-depth/news/special-reports/2019/01/30/miami-doctors-plastic-surgery-empire-becomes-floridas-deadliest-clinics/2462068002/
13. Masihy, M. Board Takes Action Following Brazilian Butt Lift Deaths. NBC Miami. June 3, 2022. https://www.nbcmiami.com/investigations/board-takes-action-following-brazilian-butt-lift-deaths/2776749/
14. Florida Board of Medicine. 22065771, 64B8ER19-1 - Florida Administrative Rules, Law, Code, Register - FAC, FAR, eRulemaking. https://www.flrules.org/Gateway/View_notice.asp?id=22065771
15. Masihy, M. Board Takes Action Following Brazilian Butt Lift Deaths. NBC Miami. June 3, 2022. https://www.nbcmiami.com/investigations/board-takes-action-following-brazilian-butt-lift-deaths/2776749/
16. Castillo E. Florida Board of Medicine enforces a daily limit on Brazilian Butt Lift surgeries. Yahoo News. Published June 22, 2022. Accessed July 9, 2022. https://www.yahoo.com/video/florida-boardmedicine-enforces-daily-224257734.html
17. Department of Health. Board of Medicine. Florida Administrative Code & Florida Administrative Register. Rule 64B8ER19-1. June 28, 2019. Vol 45/126. https://www.flrules.org/gateway/notice_Files.asp?ID=22065771
18. del Vecchio D, Kenkel JM. Practice Advisory on Gluteal Fat Grafting. Aesthet Surg J. Published online April 11, 2022. doi:10.1093/ASJ/SJAC082
19. Neal DJ. State: fatal Brazilian butt lift was day’s 7th illegal surgery by Coral Gables doctor. Miami Herald. November 22, 2021. https://www.miamiherald.com/news/health-care/article256016237.html#storylink=cpy.
20. del Vecchio D, Kenkel JM. Practice Advisory on Gluteal Fat Grafting. Aesthet Surg J. Published online April 11, 2022. doi:10.1093/ASJ/SJAC082
21. Florida Board of Medicine. Rules Development Workshop. Dania Beach, Fl. August 4, 2022. https://ww10.doh.state.fl.us/pub/medicine/MQA_Audio/2022/August/Thursday,%20August%204,%202022/Joint%20Committee%20on%20Surgical%20Care%20and%20Quality%20Assurance/
22. Accessed via the worldwide web November 14, 2022 at: https://www.plasticsurgery.org/for-medical-professionals/publications/psn-extra/news/gluteal-fat-grafting-a-joint-safety-statement
23. Accessed via the worldwide web November 14, 2022 at: https://www.isaps.org/wp-content/uploads/2022/10/ISAPS-Endorsed-Safety-Statement.pdf
24. Tunell, A. Florida’s Mortality Rate for Brazilian Butt Lifts Is Alarmingly High—but Can New Legislation Change That? Realself. July 30, 2019. https://www.realself.com/news/florida-legislation-brazilian-butt-lifts
25. Pazmiño P. ultraBBL: Brazilian Butt Lift Using Real-Time Intraoperative Ultrasound Guidance. Ultrasound-Assisted Liposuction. Published online 2020:147-172. doi:10.1007/978-3-030-26875-6_10
26. Pazmiño P, Garcia O. Brazilian Butt Lift-Associated Mortality: The South Florida Experience. Aesthet Surg J. 2022 Aug 11:sjac224. doi: 10.1093/asj/sjac224. Epub ahead of print. PMID: 35959568.
Ready to Claim Your Credits?
You have attempts to pass this post-test. Take your time and review carefully before submitting.
Good luck!


